$89 New patient Exams & X-rays / $35 Emergency Visits

How Porcelain Veneers Can Give You the Smile You Deserve
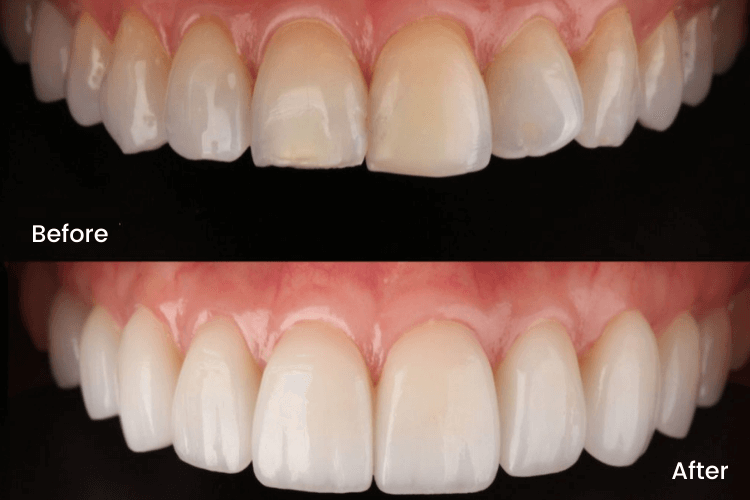
A bright and beautiful smile is the best accessory that anybody can have. But not everyone is born with perfectly aligned teeth and a straight smile. This often makes them feel self-conscious about their smile and lowers their confidence. The cosmetic dentistry industry has drastically advanced over the years, making it easy for changes to be made to one’s natural teeth in order to look more aesthetically pleasing. Dental veneers are one of these advancements. The process for obtaining dental veneers is performed by a cosmetic dentist. Dental veneers are an effective solution to cover tooth imperfections and dramatically improve the appearance.
What is a Porcelain Veneer?
A dental veneer is a thin layer of tooth-colored material that closely resembles natural teeth and is placed upon a tooth to enhance and improve its appearance. While there are several types of veneers available, porcelain veneers are a long-term solution that produce stunning results and can easily last for 10 or more years when properly maintained.
How Do Veneers Enhance Your Smile?
Porcelain Veneers in Conroe TX can be used to address a large number of cosmetic concerns. Each veneer is customized to address the dental concern of the patient and enhance their smile effectively. Some issues that can be resolved with veneers include:
- Fixing wide gaps between teeth
- Fixing any cracks in the enamel or chipped tooth
- Straightening crooked front teeth
- Whitening teeth that are severely discolored
- Adjusting the shape or size of a tooth
Porcelain veneers are suitable for everyone. Anyone with adult teeth can consider porcelain veneers to perfect their smile. For adolescents, dentists may opt for composite veneers leaving time for them to change as they grow, but once you are an adult, you can receive porcelain veneers if you feel the need to change the aesthetic appearance of your teeth.
How to get porcelain veneers
Porcelain veneer treatment requires several visits to your dentist. The first visit is for the consultation. The dentist will examine your teeth and make suggestions on what should be changed. They will also breakdown the process and price for the treatment according to your requirements. If you have any cavities or other oral issues, the dentist will guide you on how to treat those issues first before the veneers are placed.
After agreeing on the goals of the treatment, your dentist will prepare the teeth for porcelain veneers by slightly filing them. Then he will take an impression of your teeth to prepare the veneers which are created in a dental laboratory. When your veneers are ready, they will be fixed on the teeth on your next visit. You may even receive temporary veneers until your permanent ones are ready. Once the veneers have been attached to the teeth, the dentist will shape them to give you the smile you want.
How do you care for porcelain veneers?
Porcelain veneers are virtually indistinguishable from natural teeth, but they must be properly taken care of. Following are some simple tips to get the best value out of porcelain veneers near you.
- Brush and floss regularly
- Use an antiseptic mouth wash
- Use a soft-bristled toothbrush
- Have regular checkups with your dentist
If there is something that you wish to change about your smile, Porcelain Veneers in Conroe TX could be the right choice for you. Contact our porcelain veneer specialist at Grand Central Dentistry for a veneers consultation.
